两性大脑差异图显示男性大脑比女性大
科技时代
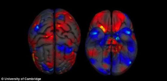
照片展示了这个大脑上面和下面的构造,揭示了灰质容积的差异。红色代表女人大脑较大容积区域,蓝色代表男人大脑较大容积区域。
新浪科技讯 北京时间2月18日消息,许多人都怀疑男人和女人的大脑有很大不同,现在剑桥大学研究人员发现,男人和女人的大脑确实存在差异。他们用20多年进行神经学研究,创建出一个展示两性大脑差异图。
研究负责人安布尔-瑞格洛克表示:“我们第一次研究了大量的资料,证实男人和女人大脑在大小和结构上存在不同。我们再也不能忽视性别在神经学研究中扮演的角色了。研究精神病情形在男人还是女人中更普遍,更不能忽略两性作用。”享有声望的《神经学与生物行为评论》杂志这周刊登了这项研究成果。
科学家发现,男人大脑总量平均比女人的大8%到13%。平均来说,在颅内腔、全脑、大脑、端脑、灰质、白质、充满脑脊液的区域和小脑等方面,男人比女人还有更大的绝对容积。随着研究深入,科学家发现男人和女人大脑几个区域的容积存在差异,这些区域包括处理情感的边缘系统和语言系统等。
这个科研组由剑桥大学精神病学系博士研究生安布尔-瑞格洛克以及约翰-萨克林和西蒙-巴伦-科恩两位教授负责。他们分析了大量研究两性全脑和部分脑容积差异的大脑成像文献。这项研究可能对自闭症和抑郁症的研究具有重要意义。
萨克林表示:“两性大脑边缘系统的差异常和精神病情形有关,而这些情形又和两性在自闭症、精神分裂症和抑郁症上的比例失调存在一定关系。这项新研究可能帮我们了解典型的性别差异以及和性别有关的精神病情形。”
科恩表示:“虽然两性在大脑结构上存在明显差异可能反映了一个环境或社会因素,但我们从其他研究中也知道生物学影响扮演着重要角色,例如产前性类固醇和性染色体影响等。我们要逐个分析这样的影响。”
这个科研组的另一位成员赖孟川(Meng-Chuan Lai)博士呼吁进行更多的研究。她说:“我们要开展更多研究,才能了解大脑在人一生中的发育情况,尤其是早期和形成期。”这个科研组分析了1990到2013年间发表的所有研究文章。这项研究共包括126篇文章。科学家分析了从婴儿到80岁间研究对象大脑的情况。(孝文)