谷歌用AI诊断早期肺癌超越人类医生,登上Nature子刊

捕捉翻倍美股
在我国,肺癌一直是各种癌症中致死最多的。
据国家癌症中心统计,我国每年新发肺癌约78.7万人,因肺癌死亡约63.1万人,如果这些患者都能早发现、早治疗,那么他们的寿命将会大大延长。
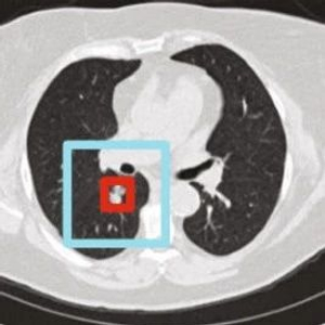
谷歌发表在Nature Medicine上的一项新研究,让人类解决肺癌难题前进了一大步。在这项研究中,AI能够根据患者的胸部CT图像,诊断出早期肺癌,与六位放射科医生相比,AI的准确度更高,检测到的病例增加了5%,假阳性减少了11%,AUC达到94.4%。
换句话说,相比人类医生,谷歌的该AI模型能够发现更多没被发现的早期肺癌病人,还能减少很多没有患肺癌的人被误诊。


无论是和单个医生相比还是和某一科目的医生们相比,这项研究中模型的准确度都相当高,超越了人类水平
真实数据检测研究中用到的数据来自美国全国肺癌筛查试验(NLST)的真实数据,包括来自14851名患者的42290张CT照片,其中639人在拍完这些CT照片一年后就经过活检被确诊为肺癌。如果一名患者在一年后的检测中没有发现肺癌,则被视为阴性。
这14851名患者被随机分配到了训练组(占比70%),调整组(占比15%)和测试组(占比15%),三个组的确诊患者百分比分别为3.9%、4.5%和3.7%。
模型即将开放
整个模型包含几个部分:
肺部分割,用TensorFlow目标检测API训练LUNA45数据集,产生肺分割掩模并对齐。
癌症ROI检测,构建RetinaNet47,找出病灶区域。
全量模型,在1.5立方毫米体积的大小上训练,预测一年内患癌症的可能性。
癌症风险预测模型,提取3D特征,生成最终预测结果。
整个模型将通过谷歌云Healthcare API开放,进一步研究它在临床实践中的效果。有朝一日,或许这个模型真的能在各大医院中使用,会有更多病人受益。
传送门最后,这项研究中用到了3个肺癌数据集,需要的工具都是TensorFlow中已经开源的API。
论文End-to-end lung cancer screening with three-dimensional deep learning on low-dose chest computed tomography
Diego Ardila, Atilla P. Kiraly, Sujeeth Bharadwaj, Bokyung Choi, Joshua J. Reicher, Lily Peng, Daniel Tse, Mozziyar Etemadi, Wenxing Ye, Greg Corrado, David P. Naidich, Shravya Shetty
https://www.nature.com/articles/s41591-019-0447-x
LUNA16
https://luna16.grand-challenge.org/data/
LIDC-IDRI
https://wiki.cancerimagingarchive.net/display/Public/LIDC-IDRI
NLST
https://biometry.nci.nih.gov/cdas/learn/nlst/images/
TensorFlow Estimator API
https://www.tensorflow.org/guide/estimators
TensorFlow目标检测API
https://github.com/tensorflow/models/tree/master/research/object_detection
TensorFlow Inflated Inception
https://github.com/deepmind/kinetics-i3d
作者系网易新闻·网易号“各有态度”签约作者