新浪科技

他们不曾见到人世,却为数十亿人制造了救命疫苗

环球科学

关注

撰文 | 七君

来源 | 把科学带回家(ID:steamforkids)

源自胎儿的麻疹疫苗

20世纪60年代,后来被誉为“疫苗教父”的宾夕法尼亚大学儿科学荣誉教授 Stanley Plotkin 当时是费城威斯塔研究所(Wistar Institute)的一位研究员,他正在对付一种可恶的病毒——风疹病毒。

虽然被风疹病毒感染的儿童和成人通常只会发烧和皮疹,但被感染的孕妇可能会流产,或生出先天性畸形,即先天性风疹综合征的婴儿,这些婴儿日后患上自闭症、糖尿病和甲状腺功能障碍的风险也更高。直到现在,都没有针对风疹病毒的疗法,因此研发风疹疫苗在当时就成了当务之急。

虽然病毒在合适的宿主体内能作威作福,但是它们在实验室里并不容易培养。而在实验室成功培养病毒,是研发疫苗的第一步。如果无法培养病毒,疫苗就不可能诞生。

那个未出生的孩子,就在这个研究所里和数十亿生命产生交集。

威斯塔研究所的另一位生物学家 Leonard Hayflick 把这个胎儿的肺部细胞带到费城,用它们制造了WI-38细胞株,也就是不断重复增殖的一批细胞。他发现,包括风疹病毒在内的许多病毒在WI-38里长得很好。

这让 Plotkin 感到非常兴奋。利用WI-38,他成功研发了风疹病毒的减毒疫苗。

原来,在培养病毒时,如果故意把细胞放在低温环境中,细胞内的病毒以为自己要对付的是低温,就会死命加强低温适应这个技能点。被注射到温度更高的真人体内后,病毒不知道怎么对付高温,毒性就不如原版的强。这种“驯化”的病毒能引起免疫反应,但不会致病,于是,减毒疫苗就诞生了。

Plotkin 就是把感染了风疹病毒的 WI-38 细胞在30℃的环境里复制了25次,获得了减毒风疹疫苗的。

现在,每年几百万儿童接种的麻疹-腮腺炎-风疹联合疫苗中的风疹疫苗依然是用这种方法制造的。麻疹-腮腺炎-风疹联合疫苗的最大制造厂商之一的默克药厂表示:“默克和其他疫苗制造企业都在使用 WI-38 用于培养疫苗用的病毒。”我国在1995年研发的风疹疫苗 BRD-II 也是用人胚胎细胞株制造的。

从麻疹到新冠病毒

和 WI-38 类似,另外一个常用于疫苗制造的人胚胎细胞株叫做 MRC-5,它来自一位英国女性自愿流产的男性胎儿的肺部,是在1970年由英国医学研究理事会制造的。MRC-5常被用于制造麻疹腮腺炎德国麻疹混合疫苗、水痘疫苗和脊髓灰质炎疫苗。

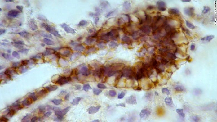
14周大的人类胚胎肺部细胞

现在,全世界许多地方的实验室都在用这两个胚胎的细胞制备疫苗和其他药物。包括风疹疫苗、水痘疫苗、甲型肝炎疫苗、某种狂犬疫苗和脊髓灰质炎疫苗都需要在人胚胎细胞里培养病毒。用于治疗血友病、类风湿性关节炎、囊肿性纤维化这些疾病的药物也使用了来自这些胎儿的细胞。

用这些来自胚胎肺部细胞制造的疫苗已经挽救了至少1100万人的生命,并为45亿人防御了疾病。

一些正在研发的新冠疫苗也是用胎儿细胞制造的。

根据世界卫生组织的数据,目前全球有超过130个新冠疫苗正在研发中,其中10个已经进入了临床试验阶段,而其中至少5种疫苗采用了胚胎细胞。

不过,这些疫苗采用的胚胎细胞和上述两个细胞株不同,分别是来自1972年流产的胎儿的肾脏细胞的HEK-293,以及1985年流产的一个18周大的胎儿的视网膜细胞。

在其中4个疫苗里,人类胚胎细胞被用来当作生产腺病毒的工厂。腺病毒是运输新冠基因的快递员。人体细胞接触了这种腺病毒后,就会把新冠基因整合到自己的DNA中,然后生产新冠病毒的蛋白质。这些由人体自己生产的蛋白质不会致病,但能诱导机体产生免疫反应,从而对新冠免疫。

腺病毒可以当作新冠病毒遗传物质的载体,负责把新冠病毒的遗传物质片段插入人体细胞中,使人体细胞生产新冠病毒的蛋白质,从而诱发免疫反应。牛津大学和我国军事科学院军事医学研究院生物工程研究所陈薇院士团队都研发出了腺病毒载体新冠病毒疫苗。

另外一个疫苗的思路不太一样,它属于病毒亚单位疫苗,HEK-293的细胞被用于制造新冠病毒的刺突糖蛋白。这种蛋白质被注入人体后,会引起免疫反应,从而是人体得到免疫力。

4大优势

所以问题来了,为什么一定要用人的胚胎细胞呢?

使用人类胚胎细胞有诸多好处。

首先,由于是要制备对抗感染人类的病原体的疫苗,和动物细胞相比,病毒在人细胞中的生长情况更好。匹兹堡大学医学院的疫苗研发科学家 Andrea Gambotto 表示,“用动物细胞制造的新冠病毒蛋白质的刺突糖蛋白和正牌新冠病毒的不同,可能无法产生人体免疫反应。”

其次,包括胚胎细胞在内的大多数细胞在分裂有限次数后会死亡,这个极限为50次,叫做海佛烈克极限(Hayflick limit),对,它就是制造了 WI-38 细胞株的那位 Hayflick 发现的。由于胚胎尚未发育成熟,细胞的分裂次数较已经娩出的少,因此可以使用更多次。

第三,胚胎细胞相对其他人源细胞更干净,因为子宫是无菌状态。

最重要的是,虽然某些疫苗,比如流行性乙型脑炎、轮状病毒、脊髓灰质炎病毒,还有天花病毒是用动物细胞,比如非洲绿猴的细胞制造的,但是风疹、水痘、甲型肝炎这些疫苗还没有出现人胚胎细胞以外的制备方法。

此外,在培养病毒的时候,胎儿细胞被做成了单细胞悬浮液,它们不再抱团成组织,因此不是许多人想象中的“一团肉”。

那么,疫苗里会不会有胎儿细胞残留呢?

疫苗不含胚胎细胞。因为疫苗制造的过程中有一步叫做纯化,这个步骤会去除细胞以及其他无关物质。

费城儿童医院的医生 Paul Offit 指出,这类疫苗中残留的人类DNA片段很少,“只有一克的几十亿分之一,和蔬菜水果上的人类DNA残留差不多。

我们前面说过,受到海佛烈克极限的限制,这些胚胎细胞不可能像癌细胞那样永远复制下去。它们不是癌细胞那样的永生化细胞系,而是有限细胞系。目前的 WI-38 和 MRC-5 细胞株库存能保证几十年的疫苗用细胞供应,但最终它们将无法服务人类。

好在现在也出现了用成人细胞(如A549细胞系)、昆虫细胞(如Sf9细胞系),还有鸭细胞(如EB66细胞系)制造疫苗的新技术。比如,埃博拉疫苗 rVSV-ZEBOV 就是用猴子的细胞系制造的。诱导性多能干细胞(iPS)等技术的出现,也让胚胎细胞疫苗逐渐变成过去时。

在他们正式退役前,让我们记住这些拯救了全人类的失去的孩子们吧。

加载中...