新浪科技

新冠病毒到底对患者的肺做了什么?

cnBeta

关注

原标题:新冠病毒到底对患者的肺做了什么? 来源:北京科技报

有传言称新冠患者肺部会被病毒啃噬,机能永远无法恢复。当年SARS后部分康复者肺部出现严重纤维化,新冠康复者会与此类似吗?近日,网上有言论称,新冠肺炎患者的肺部会被病毒啃噬,肺功能不可恢复,还配以恐怖的图片,着实让人感到恐慌。

▲网传新冠肺炎患者的肺部会被病毒啃噬,出现很恐怖的情况(图片来自微博

但2月20日,中国工程院副院长、呼吸与危重症医学专家王辰在《新闻1+1》节目中,针对新冠肺炎患者是否会出现肺功能问题,他表示:大家在这方面不必过于担心。我们现有的观察提示:肺功能组织能够相当程度甚至完全恢复,当然还有待更进一步地长期观察。

▲央视新闻频道《新闻1+1》疫情分析,主持人白岩松连线中国工程院副院长、呼吸与危重症医学专家王辰(图片来自微博)

中国国家卫健委高级别专家组组长、中国工程院院士钟南山也指出,新冠肺炎的遗体解剖显示,患者肺部的表现和非典(SARS)有点不一样,没有严重纤维化。

看到这些消息,有的人可能会产生疑问:新冠病毒对肺到底做了什么?新冠肺炎患者肺部表现和SARS究竟有什么不同?

CT告诉你新冠病毒对肺到底做了什么

新冠肺炎,顾名思义,肺部是新冠病毒攻击的主要部位。人一共有两个肺,左、右各一个。右肺有三个叶,左肺有两个叶。两肺之间是心脏,心脏位置一般偏左,占据了不小的空间。肺的最主要功能就是换气,我们通过呼吸,将空气中的氧气通过肺部交换到血液当中,并排出体内的二氧化碳。所以在肺部出现比较严重的问题时,患者会感觉呼吸困难。

(图片来自网络)

但肺是一个内脏器官,医生很难直接观测到病变的模样、位置等,因此,需要借助影像学检查。而在肺部的影像学检查中,CT是评估肺部受累的重要检查手段。并且专家们表示,新型冠状病毒感染的肺,还是具有一定特征的。

下图是新冠肺炎患者在做肺部CT时的图像,肉眼可见的红色圈内或白色箭头所指区域,相较于肺部其他正常部位出现了像云雾状磨砂玻璃一样的“病灶”,医学上美其名曰“磨玻璃影”。

▲新冠肺炎患者肺部CT显示磨玻璃影(图片来自网络)

其实,在疾病早期,肺部CT上可能并不会首先出现磨玻璃影。华中科技大学同济医学院附属同济医院放射科管汉雄教授发文称,患者一旦出现咳嗽、持续发热、不明原因乏力时,CT常常会有阳性发现。肺部CT上可能出现一白色不规则的小斑片(如图1箭头所指区域),即“实变结节影”,或者是中央实变、周围磨玻璃(如图2箭头所指区域),也就是中央区域是一白色不规则的小斑片,周围则像云雾状磨砂玻璃一样。随着病毒的持续“攻击”,病情发展,感染加重,白色的实变结节区域开始吸收,如同一颗糖融化了一样,慢慢变为磨玻璃影。

▲图1:肺部CT上出现一白色的小斑片; ▲图2:中央区域是一白色的小斑片,周围则像云雾状磨砂玻璃一样(图片来自网络)

根据感染程度不同,有的仅单侧肺出现这种磨玻璃影,还有的双侧都有。磨玻璃影可以累及一个肺叶,也可同时累及多个肺叶。

▲上面的图:单侧肺出现磨玻璃影,累及一个肺叶; ▲下面的图:双侧肺均出现磨玻璃影,累及多个肺叶(图片来自网络)

上海市胸科医院放射科主任医师于红在接受媒体采访时介绍,新冠肺炎的影像特征与其他病毒性肺炎相似。早期患者肺部多会出现单个或多个小斑片影、局灶性磨玻璃影等。随着病情进展,病灶增多并融合,范围扩大,多个肺叶出现小斑片,或者表现为弥漫性磨玻璃影及实变结节影。

若病毒大量复制,或者患者免疫功能较弱时,会发展为危重症。此时病毒会攻击多个肺叶,肺泡损伤弥漫,病变范围扩大、融合,造成双肺实变,即从CT上看,患者的肺部呈一大片的白色状,医学上称之为“白肺”。这种情况会严重影响肺换气,患者需要持续吸氧。

▲白肺(图片来自网络)

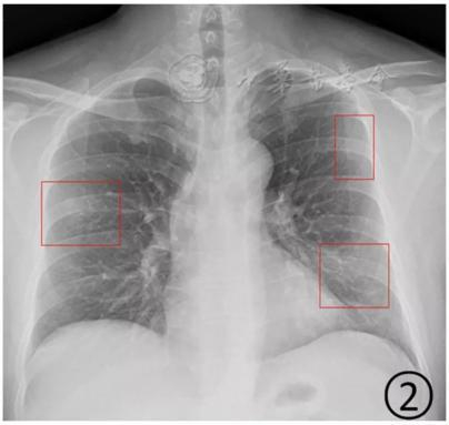
按照国家卫健委发布的新型冠状病毒肺炎试行第六版诊疗方案之中的临床分型,新冠肺炎分为轻型、普通型、重型及危重型。在患者的肺部CT中,轻型者没有比较明显的肺炎改变;普通型者以肺部出现局限性斑片状或很多节段性片状“病灶”为主(图②);重型者双肺可出现较多的白色小斑片“病灶”,部分融合成大片状“病灶”(图③);危重型者会有“白肺”表现(图④)。

▲正常情况下人的肺部CT表现(图片来自网络)

华中科技大学同济医学院协和医院研究者排除有严重呼吸窘迫和/或吸氧需求的患者,分析了21例轻度新冠肺炎患者的动态CT影像学资料。这些患者在平均(4±1)天内,共做了82次肺部CT扫描。学者发现,患者的肺部病变主要集中于肺下叶的胸膜下部位,从患者出现症状后约10 天,肺损害最严重,出现大片的白色致密“病灶”,约14天肺部病变开始改善直至吸收。

新冠病毒比SARS仁慈一些,

目前未发现肺部严重纤维化

解放军总医院第五医学中心(302医院)王福生院士团队,近期于《柳叶刀·呼吸医学》期刊上发表了首份新冠肺炎逝者病理报告,这项病理分析不是来自完整的尸检,而是通过对一位新冠肺炎逝者进行微创病理检查获得的。团队人员对患者的肺、肝和心脏进行了组织样本检测。

其中,肺部组织学检测显示,患者肺部表现为弥漫性肺泡损伤和肺透明膜形成,肺部总体病理特征与SARS、中东呼吸综合征(MERS)相似。

对于SARS,很多人还是记忆犹新。虽然时隔十来年,但是SARS后遗症一直都在侵袭着那些曾经患过SARS的人群。其中,常见的一个后遗症就是肺部纤维化。

SARS会导致非常严重的肺部炎症,引起呼吸困难、纤维化,最终造成肺衰竭。

当年在SARS结束后,钟南山在采访中指出,有7%-8%的非典康复者有较明显的肺纤维化表现,存在肺功能障碍,其余90%以上者身体均基本康复。

▲SARS患者的“白肺”(图片来自网络)

肺纤维化是肺脏受到伤害后,人体修复产生的结果。倘若正常人的肺是“嫩丝瓜”,那么纤维化的肺就像下图的干透了的丝瓜一样,整个肺会变得像木头般没有弹性,呼吸功能明显减弱,严重者各种肺部组织几乎坏死,最终不能自主呼吸而死亡。

▲纤维化的肺就像干透了的丝瓜(图片来自网络)

研究者发现,有一种对病毒复制很重要的SARS病毒蛋白质能加重肺部纤维化。学者们在肺细胞中检测了一种SARS病毒蛋白质,这是一种核衣壳蛋白(与病毒遗传物质结合的蛋白质),它能与一种名为Smad3的细胞蛋白质相结合,从而完成两项任务:一是启动细胞自毁,延长病毒复制的时间;二是激活一条独立信号通路,促进胶原和纤溶酶原蛋白抑制剂(PAI-1)的生成,这种抑制剂能破坏非细胞物质以及其他体内结构并导致肺部纤维化。

人类的存活力很强,即使切掉一个肺还可以继续活下去,所以,有的身强力壮的患者可以勉强抗住SARS病毒。但这种存活是短暂的,SARS病毒的短期增殖会导致宿主肺部的长期损坏,他们的肺部已经纤维化,随着年龄的增长,抵抗力下降,很容易发生肺部硬化而死亡。

但新冠肺炎有所不同,2月18日,在广东省人民政府举行的新闻发布会上,钟南山指出:“17年前SARS的时候,就通过遗体解剖说明了,肺本身病变情况以及肺以外全身脏器被破环的情况。”他同时透露,新冠肺炎患者肺的表现和SARS有点不一样。“并不像我们想象的严重纤维化,现在还没有结果,看起来有一部分肺泡还存在,但是炎症很厉害,有大量粘液。”他表示,进一步解剖会帮助我们认识这个病的特点,同时要特别注意让患者气道通畅,相关研究还正在进行中。

相比较而言,病毒对新冠肺炎患者的肺部还算“仁慈”一些。

多数新冠肺炎患者痊愈后肺功能可恢复

肺脏对人来说是非常重要的器官,被病毒这么“折腾”后,相信不少患者肯定会担心自己的肺脏功能还会不会恢复到以前的样子。

综合多家媒体报道,从CT上来看,新冠肺炎的表现跟其他病毒性肺炎的表现没有特别大的差异,比如过去的流感病毒引起的肺炎、甲流肺炎等,它们的影像上也经常出现弥漫性磨玻璃影和实变。而多数流感患者、甲流患者痊愈后,其肺功能均有明显改善。因此,就像专家王辰说的,新冠肺炎患者不必过于担心。

根据中华医学会放射学分会的专家推荐意见,从目前所观测到的情况来看,经过积极有效治疗后,绝大多数新冠肺炎患者的肺部病灶范围缩小,病灶数量减少,磨玻璃阴影可完全吸收。

即便是重症患者,经过系统的治疗,肺功能也能逐渐恢复。例如,武汉疫情中第一位出院的重症患者,医生在分析他的肺部CT时,发现其已经恢复了90%。当然,这只是特殊案例。对于其他危重症患者,CT已显示存在“白肺”,将来治愈后残留病灶会如何变化,目前因为没有很多的资料,尚无法定论。

武汉市联合医疗救治专家组专家、中南医院急救中心副主任夏剑,在接受媒体采访时指出,新冠肺炎患者出院后,尤其是重症患者,仍需慢慢恢复。“但他们的肺功能要恢复到完全正常是不可能的,因为有些肺部组织损失是不可逆的,能使他们的肺功能支撑正常活动就可以了。”

根据之前SARS的跟踪研究发现,患者肺部实变影可转归为磨玻璃影,有一些磨玻璃阴影可持续存在,但也有的磨玻璃影会逐渐消失。希望新冠肺炎患者尤其是幸存的危重症患者,也能看到这样的奇迹!

加载中...