睡觉时我们会被“洗脑”?大脑血液流出脑脊液涌入
cnBeta
原标题:睡觉时我们会被“洗脑”?大脑血液流出脑脊液涌入 来源:新浪科技
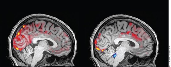
北京时间12月16日消息,据国外媒体报道,美国波士顿大学最新研究表明,当人们睡觉时大脑会发生一些变化,人体神经元会安静下来,几秒之后,血液会从大脑流出,之后一种叫做脑脊液(CSF)的液状物质会涌入大脑,以节奏性脉冲波方式冲刷着大脑。该研究会让大家联想到睡眠时人们是否被“洗脑”?

这项最新研究发表在10月31日出版的《科学》杂志上,首次证明了人类大脑睡眠时脑脊液脉冲和脑波活跃性、血液流动有着密切关联性。
科学家知道神经元存在脑电波活动已有一段时间,但在此之前并未意识到脑脊液中也真实存在脉冲波。这可能是首次在睡眠时拍摄脑脊液图像的研究,希望未来有一天该研究能让人们对各种神经和心理疾病产生更深入的认知,这些疾病通常与紊乱的睡眠方式有关,其中包括:自闭症和阿尔茨海默症。
脑波与血液和脑脊液流动的耦合也能提供与年龄相关的人体损伤信息,早期研究表明,脑脊液流动和脑波慢活动有助于冲刷大脑中有毒、损害记忆的蛋白质,但是随着年龄不断增长,他们大脑产生的波慢越来越少,同时影响睡眠时大脑血液流动、减少脑脊液脉动,从而导致大脑中有毒蛋白质积累,记忆能力下降,虽然研究人员倾向于单独评估这些过程,但现在看来它们之间是紧密相关的。
为了进一步探索衰老如何影响睡眠时大脑血液和脑脊液流动,研究人员计划邀请一些老年人参与他们的下一项研究,因为当前研究中的13名测试者的年龄在23-33岁之间,他们希望找到一种更有助于睡眠的脑脊液成像技术。
测试者佩戴脑电图描记盔帽测试脑波活动,最初13名测试者被要求在一个嘈杂的核磁共振成像仪中打瞌睡,任何一个做过核磁共振测试的人都明白,这并非一件容易的事情,因为他们处于一个嘈杂的金属管环境中,这是一个非常怪异的特殊环境。
但目前研究人员有机会拍摄到人类脑脊液图像,这项研究最有趣的环节之一是可以通过大脑扫描检查存在多少脑脊液,从而判断测试者是否处于睡眠状态,之前人们完全不知道睡眠时会出现脑脊液脉冲,现在研究人员只需观测一下大脑一个特殊区域,就能立即读取某人的大脑状态。
随着研究不断深入开展,研究团队希望解决另一个难题:人类脑波、血流和脑脊液是如何完美地彼此协调的?
我们确实看到大脑神经系统似乎总是最早出现变化,之后头部血液流出,脑脊液进入头部。一种解释可能是当神大脑经元关闭时,它们不需要太多的氧气,所以血液离开了这个区域,当血液流出时,脑压下降,脑脊液迅速流入,脑压维持在安全水平。
这仅是一种可能性,其间的因果联系是什么?其中的某个因素导致了最终结果吗?还是有某种隐藏力量驱使该变化?未来仍需更深入的研究,才能揭晓其中的谜团。(叶倾城)