国际上首次以中国人名字命名脑血管疾病征象
医谷

李琦
近日,国际上第一个以中国人名字命名的临床脑血管疾病征象——李琦岛征(Liqi island sign)诞生了,这一预测脑出血早期血肿扩大和不良预后的临床新征象由重医一院神经内科医生李琦提出,为血肿扩大机制提出新的假设,同时也为下一步脑出血患者的“靶向”个体化诊治提供了参考。
据了解,“李琦岛征”是李琦在2015年提出Blend sign(混杂征)、2016年提出Black hole sign(黑洞征)相继被国内外医生应用于临床预测血肿扩大后,再次提出预测脑出血早期血肿扩大和不良预后的临床新征象,并以其名字命名,该结果同时发表在脑血管疾病专业杂志《Stroke》(中文名《卒中》)上。

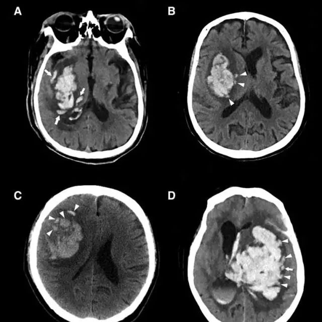
李琦提出的“岛征”反映了一种特殊类型血肿,其特征主要反映出血肿周围的多灶性小出血,在阅读CT片时,李琦发现形似海岛的血肿更容易扩大,因此以“岛征”命名了该征象,“岛征”满足以下两个标准中的任一条件即可定义:(1)存在≥3个分散小血肿全部与主要血肿分离(上图A至C)或(2)存在≥4个小血肿,部分或全部与主要血肿相连(上图D)。分散的小血肿(恰似分离的小岛)可以是圆形或椭圆形,与主要血肿分开。
研究中,李琦对起病6小时内进行颅脑CT扫描的自发性脑出血患者进行了反复研究,发现其中41例(16.3%)在基线CT上发现岛征,另外,在85名血肿扩大的患者中有38名(44.7%)患者观察到岛征,岛征预测血肿扩大具有很高的特异性,也就是说,岛征阳性几乎意味着脑出血患者血肿扩大,同时也预示脑出血患者的不良预后。
目前,岛征形成的确切原因尚不清楚,李琦推测其原因可能是:主要的血肿是由破裂的血管出血引起,当该血肿在不断扩大时,可能导致邻近的小动脉损害,从而引起血肿周围出现海岛(island)样不规则小血肿。
原标题:国际上首次以中国人名字命名脑血管疾病征象