一个罪犯有暴力基因可以减刑?科学家说这不靠谱

好奇心日报
2009 年,一个叫斯蒂法尼亚·阿贝塔妮(Stefania Albertani)的意大利女子向法院坦白:她杀死了自己的亲姐妹,埋了她的尸体,并且还想杀死父母。这个案子审了两年,最后法官做出判决:把阿贝塔妮的刑期从终身监禁减少为 20 年有期徒刑,其中一个重要原因是,阿贝塔妮身体里有暴力基因(violent genes)。
这种基因的真正名称叫单胺氧化酶(Monoamine oxidase A,简称为 MOAO),低放射水平的 MOAO 会让人在不受意识控制的情况下地作出杀人放火、虐待儿童这样的反社会行为。阿贝塔妮的律师认为,基因是先天的,犯罪人自己也控制不了,对于由此而犯下的罪行,阿贝塔妮不该负全责。
但最近科学杂志《自然》发表了一篇文章,说这样的减刑理由完全不靠谱。
几个来自新西兰的科学家对有低放射水平 MOAO 基因的人展开研究,发现只有 12% 虐待儿童的行为,44% 的人暴力犯罪的倾向。
另外,美国法院在对案件进行系统综述时,也没有发现基因和犯罪行为之间的明确关,并且规定,只有证明了这些基因让犯罪人失去了理性,或者让他们无法控制自己的行为而导致了犯罪行为,基因减刑这一理由才算数。
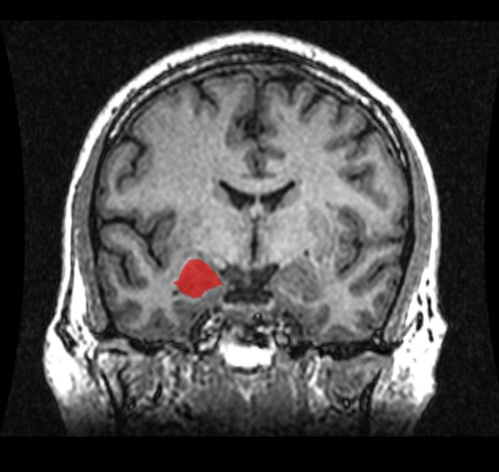
科学家研究了一群有低放射水平的 MOAO 人,发现大脑结构的确和正常人的有些不同,比如他们大脑的杏仁核里的灰质体积、扣带回会比正常人少、控制情感的前扣带回也没有一般人发达,但是目前还没有正式的研究来说明这些异常的大脑结构和暴力行为和反社会行为有关系。
红色部分为杏仁核,里面有灰质,MOAO 放射水平低的人灰质体积会比正常人少。
像暴力基因一样游离在法律和道德边缘的例子不在少数,反社会人格障碍精神病(Sociopath)也是一种,患有这种疾病的人会漠视道德价值、伤害他人感情,甚至做出杀人抢劫这样的反社会行为。
2013 年,一个叫布莱恩·杜根(Brian Dugan)的男子向法院承认他在 1983 到 1985 年之间犯下了连环杀人案,还强奸了一个十岁的小女孩。但因为他患有反社会人格障碍病,对他的量刑在当时引起了很大争议,最后,法院还是判了他死刑。
题图/juventudrebelde